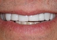
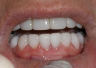
Lumineers

- Remarkably thin and incredibly durable. For one tooth or a full arch!

- A painless way to create a permanently whiter, reshaped, natural-looking smile.

- A permanent cosmetic solution for stained, chipped, or misaligned teeth.

- Strengthens worn and aging teeth for better health.

- Can be applied to the teeth without removing any sensitive tooth structure and are as thin as contact lenses.

- Usually requires no anesthetic.

- Can be placed over existing crowns or bridgework without having to replace them.

- Ultra conservative approach to repairing chipped or worn teeth.

 

 

 

 

Lumineers (no-to-minimal-preparation veneers for smile makeover) 

 

 

Come in for a consult and see if you may be a candidate for LUMINEERS!