Crowns & Bridges
Applied Procedures:
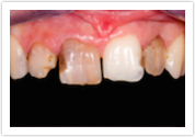
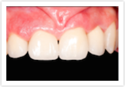
Crowns & Bridges
![]() |
![]() |
| Before Photo | After Photo |
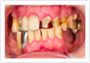
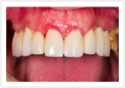
Applied Procedures:
Crowns & Bridges
![]() |
![]() |
| Before Photo | After Photo |
![]() |
![]() |
| Before Photo | After Photo |










